Hirntumor Mrt Ohne Kontrastmittel

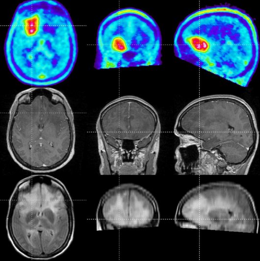
Hirntumor Mrt Ohne Kontrastmittel. Klinik und Poliklinik fuer Neurochirurgie Intraventrikuläre Tumoren Beim zweiten Mrt , mit Kontrastmittel wurde es übersehen, weil wohl nur ein kleiner Teil der Bilder genau angeschaut. Mein kleines Meningeom (1,3 mal 0,9cm) konnte beim ersten Mrt, ohne Kontrastmittel nicht gesehen werden

Multiple Sklerose Wann ist ein MRT ohne Kontrastmittel möglich?
Multiple Sklerose Wann ist ein MRT ohne Kontrastmittel möglich? from deutsch.medscape.com

Statt der üblichen Kontrastmittel, die für den Körper belastend sein können, nutzen sie eine einfache Zuckerlösung. Vergleichbare Ergebnisse sind mit der CT auch nach Gabe von Kontrastmittel in das Nervenwasser nicht zu erhalten.

Multiple Sklerose Wann ist ein MRT ohne Kontrastmittel möglich?

Häufig bekommen Patienten ein Kontrastmittel: Bestimmte Strukturen lassen sich dadurch auf einer MRT-Aufnahme überhaupt erst erkennen. Vergleichbare Ergebnisse sind mit der CT auch nach Gabe von Kontrastmittel in das Nervenwasser nicht zu erhalten. Unterstützen Sie unsere Arbeit für Hirntumorpatienten

Hirntumore (Gliom, Glioblastom, Astrozytom) Neurochirurgie Universitätsmedizin Göttingen. Hirntumor Forum : MRT ohne Kontrastmittel ausreichend? Unterstützen Sie unsere Arbeit für Hirntumorpatienten (Ich bin hier nicht die einzige, die mehr als 30 MRT mit Kontrastmittel hatte, wodurch mehrere Tumore erkannt und erfolgreich therapiert wurden

MRTUntersuchungen am Kopf das erwartet Sie Privat Radiologie Regensburg. Wenn der Tumor oder die Region des Tumors vorher Kontrastmittel einlagerte und jetzt nicht mehr ist dies im Allgemeinen ein gutes Zeichen, ansonsten bedeutet es nur, dass die Bluthirnschranke in Ordnung ist. Ohne Kontrastmittel-MRTs wäre ich wegen der Tumore nicht mehr am Leben.) Tumore wachsen, weil sich einzelne Zellen teilen.